Invisalign®-Lawrenceville
What are Clear Aligners-Invisalign®?
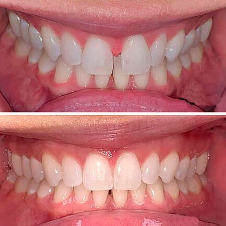
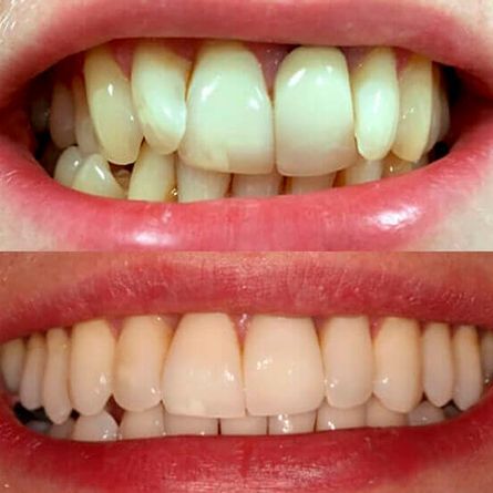
In short, both are “clear braces” made of plastic that fit your teeth like a thin mouthguard. Clear braces are easy to wear, clean as well as offering a discreet Braces solution offering a convenient Braces solution which delivers exceptional results!
Invisalign
Clear Aligners is a generic name for clear braces, and Invisalign is a brand name. Through years of extensive and highly successful marketing, many people associate invisible braces with Invisalign. Clear braces were engineered to move teeth and align jaws to create a healthy, beautiful smile without the inconvenience and frustration often accompanied with traditional metal braces.

Benefits:
Cosmetic appeal. Clear aligners are not very visible to the naked eye.
Superior comfort. There are no metal wires or brackets that will cause cheek, tongue, and lip irritation. Clear aligners are smooth and the patient typically experiences little to no discomfort compared to the traditional braces.
Convenience. Clear braces are removable appliances, so you can remove them in order to eat, brush, and floss your teeth. Since they are removable, it’s much easier to take care of your teeth and maintain superior oral hygiene.
Boosted confidence. Frequent smiling is an important indicator of confidence. Clear aligners can give you a straight, great-looking smile that you'll love showing off.
-What Problems Do Clear Aligners-Invisalign Fix?
Invisalign Clear Aligners, just like traditional braces are designed to:
- Close gaps and spacing between your teeth. Gaps between teeth often put teeth at an increased risk for decay, and gums can be more vulnerable to abcess and infection.
- Crowding. Crowding makes it difficult to floss and brush properly, increasing your risk of gum disease or tooth decay.
- Improper Bite. Improperly aligned teeth often lead to an improper bite, which can cause Temporomandibular Joint Disorder (TMD).
Schedule a 'No Obligation' Consultation with our Lawrenceville Dentist today and take your first step towards a beautiful smile with Invisalign.




